>部門案内>画像診断部
部門案内

- 当院のCT、MRI装置は、GE社製64列CT(Revolution EVO)、Philips社製3テスラMRI(Ingenia 3.0T CX)です。上記の高額医療機器を、地域の医院、病院に利用して頂き、地域医療に貢献することを目的としています。
- 画像診断を施行し、多くの情報を得て、なるべく早く治療方針が決定される様にしたいと考えています。CTでは、冠動脈や脳動脈のCT-アンギオ、CTコロノグラフィーも行っています。MRIでは、造影MRIはもちろんのこと、全身MRIも行い、全身のスクリーニング検査を積極的に施行しています。
- 画像診断部医師 中村 和義
- 日本医学放射線学会放射線診断専門医
- 新しく機種更新されたCTは、GE製64列マルチスライスCTです。
- 冠動脈CTの診断能は高く、いきなり心臓カテーテル検査を行うことが少なくなります。
- 狭心症が疑われる又は可能性のある患者様が、冠動脈CTで狭窄がなければ心臓カテーテル検査を受ける必要がなくなります。
- 狭窄があった場合、狭窄の程度がある程度わかるため主治医は治療方針を頭に描いて心臓カテーテル検査、血管形成術に臨むことが出来ます。
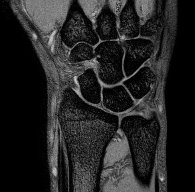
- 主体会病院のMRIがPhilips社の3T-MRIに新しく更新されました。特徴は高磁場により信号が強く、高分解能の画像がとれる事です。特に、手関節の様な小さな部位がきれいに撮影出来ます。頭部では細い
脳神経もきれいに描出出来ます。また、心臓も撮影出来るようにしました。今までの検査で検出できない小さな
無症候性心筋梗塞もMRIでは明瞭に描出出来る様になりました。肺野以外は、MRIの画像診断に果たす役割は非常に大きく、MRI無しでは診断出来ない時代になりました。今後、皆様の診療に役立つよう、努力するよう努めてまいります。